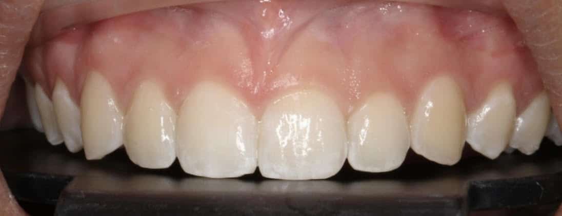
Before and After
Our patients were treated with Spark Aligners
Then
Class II occlusion
Narrow arches creating
Black corridors smile
Tilted in posterior teeth
Now
A beautiful broad smile was created by only Spark Aligners.
NO expander NO extractions were used to treat this case.
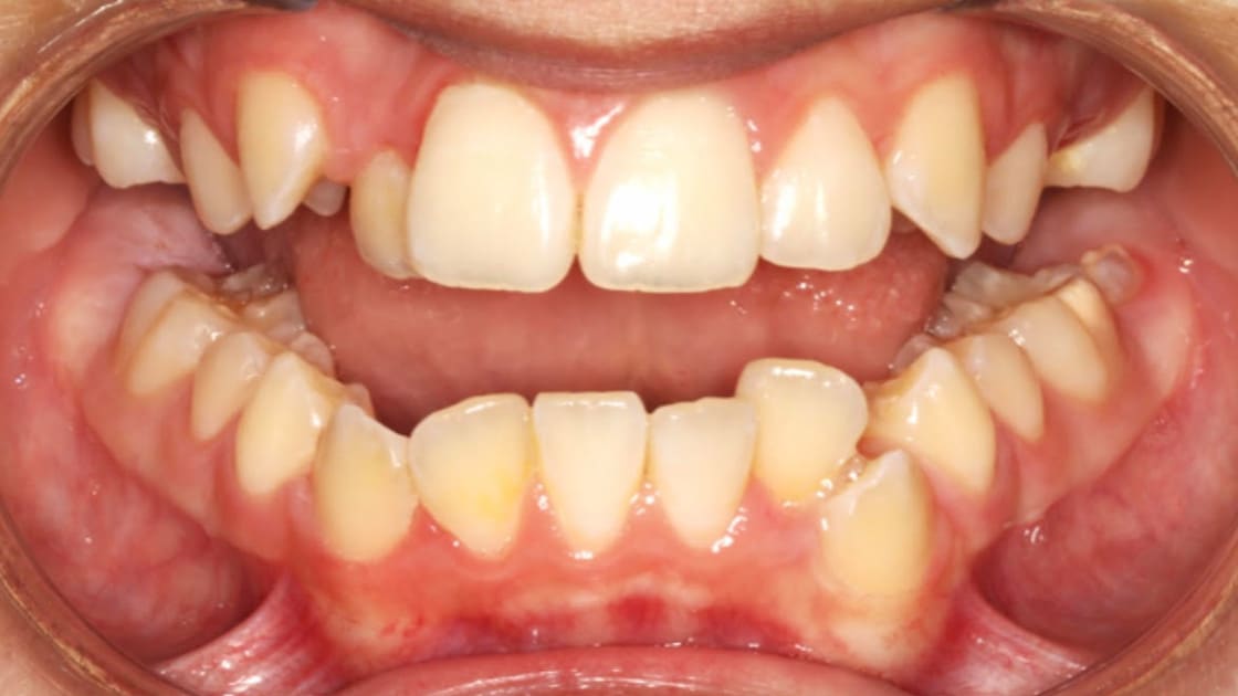
Then
Severely crooked teeth
Narrow asymmetrical arches
Black corridors
Convex soft tissue profile
Now
This beautiful smile and balanced soft tissue profile were created by only Spark Aligners.
NO expander NO extractions were used to treat this case.
Then
Severe crowding
Narrow arches
Retained baby teeth
Now
This beautiful smile was created by Damon braces.
NO expander NO extractions were used to treat this case.
Then
Adult patient who wanted to improve her smile. She had severe spacing between front teeth.
Narrow V shape dental arches with flared front teeth.
Now
Treated with Spark Aligners
The Story Behind The Pictures
Our awesome patient had 8 years of orthodontic treatment with another provider. He ended up with an open bite and with anterior teeth outside of the bony envelop.
Retreatment of an Open bite done with Spark Aligners only.
NO Surgery NO Extractions
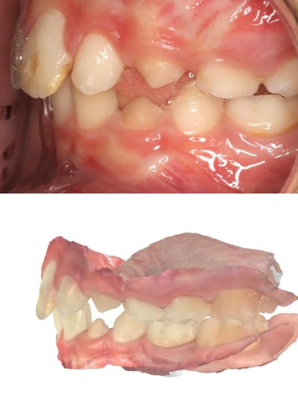
Main concern
Severe crowding
Narrow asymmetrical dental arches
Treatment
Only Spark Aligners was created by only Spark Aligners.
NO expander NO extractions were used to treat this case.
Straight Teeth Naturally

What is the story behind the pictures 🤔
Mom to the dentist: her teeth are crooked shall I go for an orthodontic exam?
Dentist: wait till all permanent teeth erupt. She is still young.
Mom knew that we do preventive orthodontics. She scheduled a FREE consultation and guess what 😲 adult canines were horizontally erupting in the child palate!
With NO surgery, NO braces, NO expanders, NO Aligners and NO extractions, our beloved patient was treated successfully with guiding the adult canines to erupt straight naturally. We saved the parents and the kid the cost and hassle of impacted canines surgery 👏🏻
We see what others cannot see to boost your kids self-esteem and to save you money We see kids no later than 7 years old for first orthodontic exam.
Laser Gum Trimming
Laser Gum Trimming
No shots
No bleeding
No pain
Quick recovery
Life-Changing Transformation: 8 Months of Remarkable Progress
In just 8 months, this treatment has led to life-changing results, addressing key concerns
Main Concerns:
• Upper front teeth protruding
• Mouth breathing with lips apart
• Fear of upper front teeth getting damaged
Treatment Approach:
Dr. Seif utilized an innovative growth modification technique to advance the lower jaw, making use of her specialized knowledge in airway and myofunctional-driven pediatric orthodontics. The treatment was non-invasive, with no braces, expanders, extractions, or aligners involved.
Results:
• The jaw bones are now properly aligned
• The chin is more prominent and the jawline is beautifully defined
• No more double chin
• A refined and harmonious facial profile
• Reduced gap between upper and lower teeth
--Lips are now competent and naturally closed
• Airway has been opened, improving breathing
• Posture has been corrected
• Significant boost in the child’s self-esteem and confidence
Parents’ Pride:
The transformation has not only enhanced their child’s appearance but also contributed to better health and a renewed sense of confidence. The parents are proud of the significant improvements in their child’s overall well-being.
About Dr. Seif:
Dr. Seif practices a holistic approach to pediatric orthodontics, focusing on airway and myofunctional development. Her method considers the alignment of teeth, jaw, and soft tissue, promoting not just a beautiful smile but also optimal breathing, swallowing, and overall health.
Laser Gum Trimming
No shots
No bleeding
No pain
Quick recovery
Damon Braces
Dr. Seif successfully treated this patient without extractions or expanders, utilizing her expertise with Damon braces. The patient sought a second opinion after another provider recommended extractions.
Main Concerns:
• Severe crowding
• Narrow dental arches
• Ectopic canines
Damon braces, a passive self-ligating system, can effectively address severe crowding and ectopic canines without the need for extractions or expanders. This approach utilizes light, gentle forces to move teeth, promoting efficient tooth movement and arch development.


































































































